• 医院官网
  • 首页
  • 患者服务
    • 预约挂号
    • 门诊时间
  • 医生介绍
  • 科室导航
  • 就医指南
  • 医院公告
    • 信息公开
    • 医院公告
    • 招标公告
    • 质控中心
  • 党建专栏
  • 新闻中心
    • 职工艺苑
    • 教学栏目
    • 医院新闻
    • 科室新闻
  • 健康科普
    • 患者心声
    • 医保之窗
    • 医护之窗
    • 政策法规
    • 健康科普
  • 院长信箱
  • 医院概况
    • 医院简介
    • 价值体系
    • 领导风采
    • 行政科室
    • 医院荣誉
    • 大型仪器
    • 医院环境
  • 省政府信息
  • 游仙区紧密型城市医疗集团
    • 集团成员单位
    • 集团工作动态
    • 集团组织架构
新闻中心
  • 职工艺苑
  • 医院新闻
  • 科室新闻
  • “鬼门关”死里逃生,市三医院体外生命支持多学科协作组成功救治危重患者
    “鬼门关”死里逃生,市三医院体外生命支持多学科协作组成功救治危重患者 2023-11-06 作者:重症医学科/卫加勋
  • 不仅治疗,更是关怀:冯友医生的安宁疗护实践
    不仅治疗,更是关怀:冯友医生的安宁疗护实践 2023-11-06 作者:老年病二科/罗欢、宣传科/杜乔乔
  • 喜讯!绵阳三医院获批国家级吞咽障碍康复专科在建培训基地
    喜讯!绵阳三医院获批国家级吞咽障碍康复专科在建培训基地 2023-11-06 作者:康复医学科/巩文艳、宣传科/杜乔乔
  • 我院成功举办绵阳市护理学会肿瘤护理专业委员会学术年会暨“肿瘤症状护理研究新进展培训班”
    我院成功举办绵阳市护理学会肿瘤护理专业委员会学术年会暨“肿瘤症状护理研究新进展培训班” 2023-11-06 作者:肿瘤科/江雪梅
  • 向精益管理迈进 我院成功举办“5S管理”成果汇报评比活动
    向精益管理迈进 我院成功举办“5S管理”成果汇报评比活动 2023-11-03 为进一步创新管理思路,为患者营造温馨、舒适的就医环境,提升医院整体服务质量和水平,医疗质量月活动之“5S管理”成果汇报评比于11月1日成功举行。本次活动由质控部联合服务办共同举办,院党委书记王继生,党委副书记、院长向虎出席会议。各大科、分院共计13名资深质控专家担…
  • 【医院动态】市政府副秘书长游章勇带队到市三医院对垃圾分类工作进行实地观摩
    【医院动态】市政府副秘书长游章勇带队到市三医院对垃圾分类工作进行实地观摩 2023-11-03 作者:总务科/张桂华、宣传科/杜乔乔
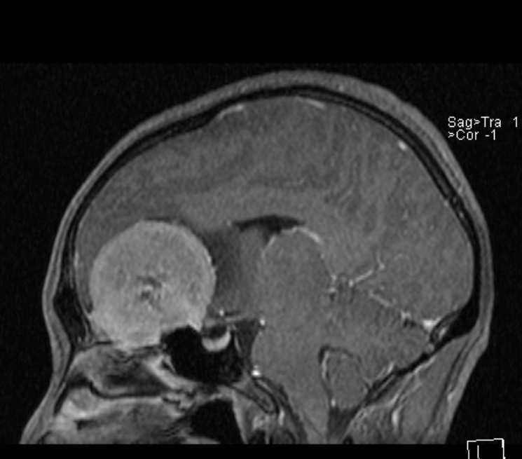
  • 巨大脑肿瘤“鸠占鹊巢”,绵三医神经外科团队妙手除瘤
    巨大脑肿瘤“鸠占鹊巢”,绵三医神经外科团队妙手除瘤 2023-11-03 作者:神经外科/金彪
  • 以赛为马,精益护理 | 绵阳市护理学会神经病学护理、介入护理专业委员会“优质护理案例”比赛圆满结束
    以赛为马,精益护理 | 绵阳市护理学会神经病学护理、介入护理专业委员会“优质护理案例”比赛圆满结束 2023-11-01 为促进我市公立医院高质量发展,深入开展群众看病就医“六舒心”行动,不断提升改善医疗服务,推动和促进护理骨干的交流和发展,由绵阳市护理学会主办,绵阳市第三人民医院承办的“优质护理案例比赛”比赛于2023年10月27日在绵阳市第三人民医院如期举行。 自发布通知以来,收到…
  • 国家级技术推广!绵阳市三医院主办的这场学术盛宴大咖云集
    国家级技术推广!绵阳市三医院主办的这场学术盛宴大咖云集 2023-11-01 作者:康复医学科/巩文艳、宣传科/杜乔乔
共 2996 条上一页1... 8788899091929394...333下一页
  • 绵阳政府网
  • 四川省卫生和计划生育委员会
  • 中华人民共和国国家卫生健康委员会
  • 绵阳市卫生和计划生育委员会
  • 急救电话: (0816)2296120 母乳喂养咨询热线: 0816-2967371
    总机: (0816)2282249
    • 幸福云医疗APP

    • 服务号 scmysyy

    • 订阅号 scmysdsrmyy

    • 传真:(0816)2296100
    • 地址:绵阳市剑南路东段190号
    • 邮编:621000
    • CopyRight© 2010 www.scmy120.com,All CopyRights Reserved.
      蜀ICP备14003058号-12
    • 川公网安备 51070402110131号