403
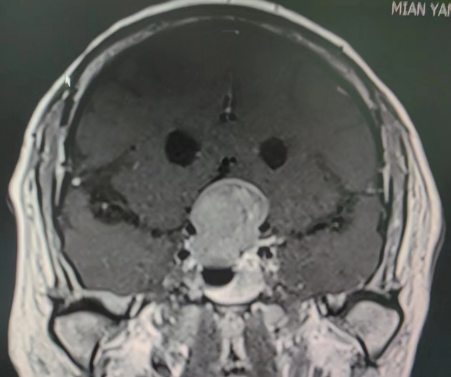
今年69岁、四川绵阳籍贯的郭大爷,1月前开始出现阵性头晕头痛伴右眼的眼睑下垂伴视力下降,他一直认为是近视未给予重视,最近视力下降尤为厉害,右眼眼睑下垂几乎完全看不见,左眼视力也有下降,只能依稀辨别1米外的物体,且时而还出现头晕、头痛等症状。郭大爷被家人送至绵阳市第三人民医院进行检查。通过颅脑核磁共振检查发现,郭大爷的鞍底已经形成了一个直径达3厘米的肿瘤,肿瘤已严重压迫视神经,且压迫临近的动脉,这个肿瘤时刻威胁着他的视力,甚至生命,郭大爷甚至可能完全失明。

术前影像学检查
为挽救郭大爷的生命和视力,绵阳三医院神经外科决定为其进行经鼻手术切除。但由于郭大爷长期吸烟饮酒,还患有糖尿病及高血压,进一步增加了手术和麻醉风险。经我院副院长、神经外科专家刘阳与医疗团队讨论,决定在神经内镜的配合下切除肿瘤,这样既避免了对肿瘤周围结构的损伤,也能减少术中出血,加快肿瘤的切除速度。

术后影像学资料
由于准备充分,郭大爷的手术非常成功。手术后他思维清醒,复查结果显示鞍区肿瘤切除干净,没有残留。术后郭大爷的左眼视力明显好转,几乎失明的右眼也能模糊的辨别物体。据了解,这样的鞍区垂体肿瘤在神经外科十分常见,由于肿瘤生长缓慢,患者多在病变的发展过程中未给予重视,当出现视力严重障碍及内分泌障碍时才发现。传统的开颅手术方式切除肿瘤术中出血多,病人手术时间长,常常加重患者的手术风险和术后并发症。目前随着神经内镜的普及和我院4K神经内镜使用,手术时间缩短、出血更少、风险更小,为鞍区患者的肿瘤手术治疗更好保驾护航。
作者:邓李
编辑:杜乔乔
审核:邓金林