403
近日,我院心血管内科成功为81岁的钟婆婆完成了本院首例经皮左心耳封堵术,解锁了房颤患者诊疗难题。
钟婆婆有多年房颤病史,长期口服药物抗凝,有消化道出血病史。近日因房颤入住心血管内科治疗。科室对其进行了房颤卒中评分和抗凝出血评分,评分结果皆不理想,发生缺血性卒中的风险和抗凝治疗再发生出血的风险都很高。这意味着钟婆婆不吃抗凝药容易发生脑血栓,而继续口服抗凝药物,容易再次发生出血,包括再次消化道出血、脑出血等风险。
心血管内科面对这两难抉择,权衡利弊,讨论决定对钟婆婆实施经皮左心耳封堵术,既可预防血栓事件,又可避免由抗凝治疗而引发的出血事件。经皮左心耳封堵术是一种预防房颤患者血栓事件尤其是缺血性卒中的有效措施,也是目前国际上预防房颤患者缺血性卒中的新趋势,为房颤患者的抗栓治疗带来了新的希望。
心血管内科团队与超声诊断科、麻醉科进行了术前会诊,对钟婆婆病例进行研讨分析,制定了周密手术方案及并发症应急预案。术中唐波副主任医师与沈松林主治医师通力合作,经右侧股静脉,在食道超声引导下穿刺房间隔,将长鞘顺利进入患者左心耳,利用猪尾导管进行造影,同时进行测量,选择合适的封堵器封堵左心耳。术中,超声诊断科为钟婆婆实时进行经胸、经食道超声心动图检查,以实时精密的测量为手术医师提供有效可靠地帮助;麻醉团队为钟婆婆诱导麻醉、气管插管、全麻和机械通气及全程监测,各学科通力配合,顺利完成手术。
据心血管内科主任蔡国才副主任医师介绍,房颤患者发生缺血性脑卒中的风险较正常人高出5倍以上,95%以上的左心房血栓与左心耳息息相关,此类病人须终生服用抗凝药物。目前我国每年由房颤所致的卒中约为50万例,作为常见病已严重危害我国居民健康和生命安全,同时也给国家、患者及家庭带来沉重的经济负担。
左心耳封堵术借用患者大腿根部的股静脉作为手术通道,通过导管将封堵器输送至左心耳,经医生精准定位,将封堵器永久性植入左心耳的开口部位,完成“落户”固定后的封堵器会像一把撑开的伞,将左心耳与左房分隔开,有效预防左心耳内血栓脱落引起的血栓栓塞,从而避免缺血性脑卒中和全身多器官栓塞的发生。该手术是目前最前沿的微创介入治疗方式,创伤小、无需开胸及体外循环,手术操作在1小时左右完成,术中不会有特殊不适感,术后观察1-2天即可出院,具有“一次植入,终身预防”的优势,同时免去长期服用抗凝药物带来的消化道出血、脑出血等副作用,提升房颤患者生活质量。

图1、在食道超声指导下进行房间隔穿刺。

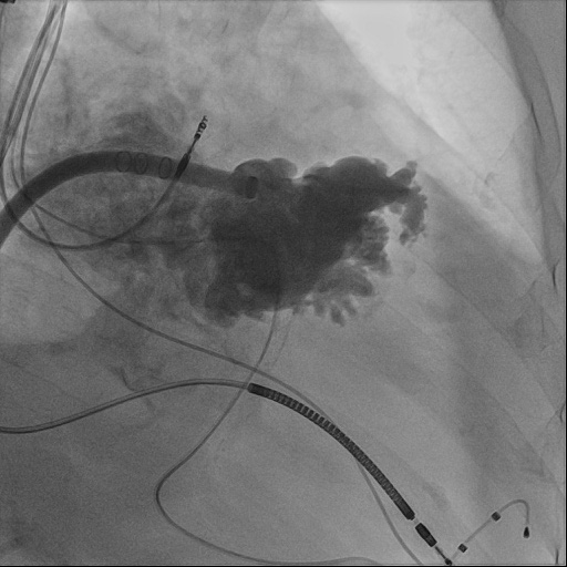
图2、经左心耳封堵器鞘管进行左心耳造影,结合食道超声测量左心耳大小,选择合适的左心耳封堵器。

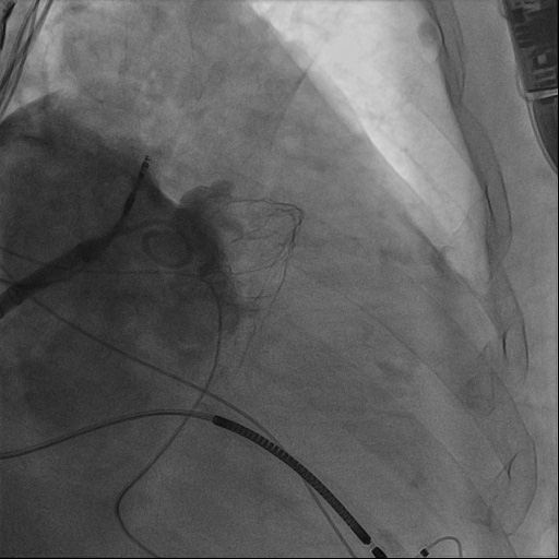
图3、患者左心耳封堵器释放后,造影评估左心耳封堵效果,患者左心耳封堵成功。
(沈松林)