122
国庆长假期间,很多人利用难得假期家人团聚、出行游乐,但在游乐过程中一定要注意安全,特别是家有小孩的家庭,一定要做好安全防范,以免发生意外。国庆节期间,我院神经外科就收治了一名坠落导致头颅硬膜外血肿合并颅骨骨折的小女孩,令人心疼,所幸经过神经外科团队的成功施救,最终化险为夷。
10月4日午间,长假第4天,神经外科医护人员正坚守岗位,有条不紊地进行日间工作,突然接到一个急诊电话,一名脑外伤患儿正在救护车上由当地紧急送往我院。
小景(化名)是一名年仅七岁的小女孩,前两天在游乐园玩耍时不慎从蹦床上坠落,头部着地,当即哭闹不止,父母见她没什么异状,就没有处理带回家休息。一天过去,小景的头痛症状越发加重,精神也越来越差,还出现反复呕吐的症状。此时,小景父母才意识到孩子并不只是“皮外伤”这么简单,立即匆忙将她带到了当地医院,当地医院急诊头颅CT提示硬膜外血肿合并颅骨骨折,伤情危重。
为得到更有效的治疗,当地医院急诊将小景送至我院神经外科。在治疗的时候,小景的妈妈告诉医生,女儿1年前在外院确诊为地中海贫血,这是一种严重的遗传性溶血性疾病,让本就严重的病情雪上加霜,手术风险骤增。全科上下高度重视,立即给小景安上心电监护,同时予以降颅内压、减轻脑水肿等对症治疗。
但小景颅内出血量较大,邻近脑组织受压严重,头痛持续不缓解,甚至心率开始变慢,病情不能再拖。经科室统一讨论后,决定为她立即实行"左侧颞枕硬膜外血肿清除术、颅内减压术",并与小景父母进行术前沟通。目睹孩子饱受伤痛折磨,小景父母又是自责又是担心,面临小景的危重伤情和可能会出现风险的手术,他们选择了信任手术团队,选择手术治疗。

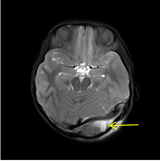
▲ 术前:左侧枕部硬膜外血肿

▲ 术前:血肿压迫横窦
小景年龄较小,硬膜外血肿压迫横窦,再加上她本身是地中海贫血患者,血色素低,术中大出血风险极高。错综复杂的病情,对手术医生的刀上功夫产生了极大挑战。术前曹辉医生积极联系输血科备齐红细胞悬液、新鲜冰冻血浆,术中科主任刘阳主刀,副主任张海、主治医生曹辉分别为一助、二助,三人默契配合,仔细轻柔地清除了脑内血肿,手术过程十分顺利。

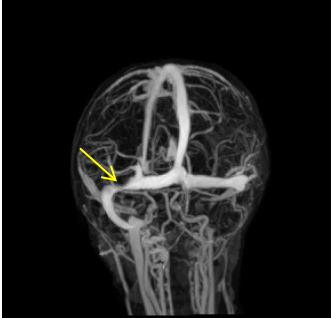
▲术后复查
目前小景生命体征平稳,在神经外科医护人员的保驾护航下,恢复良好,未出现神经功能缺损症状。
据刘阳介绍,儿童跌坠伤是儿童意外损伤最常发生的类型,儿童游乐场所、体育运动场所等均为坠伤高发地。一旦发生儿童坠伤,应高度重视,家长需持续观察患儿头部,如出现头痛、嗜睡、呕吐、手脚无力等情形,应就医做进一步检查。学校和家长也应在平时加强对孩子安全意识的教育和培养,在玩耍过程中,家长要时刻关注孩子,预防孩子意外受伤。
【延伸阅读】
小儿神经外科主要指十五岁以下的儿童的神经外科疾病,因年龄、发育及其他人文因素影响,小儿治疗原则与成人不尽相同,为防止造成大脑不可逆损害,许多疾病需进行更积极的处理。市三医院神经外科自成立以来,一直大力发展小儿神经外科,历经数十年不断总结、不断完善,小儿神经外科蓬勃发展,硕果累累,已在小儿颅脑损伤、颅内肿瘤及各种先天性神经系统疾患等方面积累丰富诊疗经验。
(文汧卉)
修改意见:
患儿是男孩还是女孩,取个化名?
在家里还是在外面摔伤的?
摔下去后出现了什么症状?加一段家属着急送来的场景描述。
地中海贫血是现场检查出来的还是妈妈或谁告诉医生的?
医生为她做了什么手术?
现在恢复情况怎么样?
再加一段医生对患儿意外坠落的预防和处理意见。
上一篇:我院药学喜获四川省“医院药事管理优秀奖”单位和个人表彰