403
■ 头痛头晕 脑内发现“不定时炸弹”
退休多年的赵师傅近半年出现了头痛、头晕等症状,但并未引起特殊重视。除高血压外,赵师傅没其他毛病,况且他一直规律口服降压药,血压控制良好。直至近日,赵师傅头痛、头晕发作越发频繁,这才在家人的陪同下到绵阳市第三人民医院神经外科就诊。经CT血管成像检查,发现赵师傅脑内暗藏一个“不定时炸弹”----颅内动脉瘤,而且该动脉瘤是颅内主干血管上的宽颈动脉瘤,临床上将之归类为复杂动脉瘤类型。
颅内动脉瘤是一种极为常见、凶险而又容易被忽视的疾病。脑动脉瘤不是“瘤”,而是血管壁的缺陷在长期压力的作用下出现的异常扩张,一旦破裂,就会导致严重后果。好似汽车轮胎鼓包,倘若在高速行驶中鼓包破裂,往往车毁人亡。
据统计,动脉瘤第1次破裂后,死亡率高达30-40%,其中半数在发病后48小时内死亡;即便患者能够幸存,也有三分之一的患者可能发生再次出血。动脉瘤破裂的患者只有三分之一左右能够幸存,幸存患者也可能留有偏瘫失语等多种后遗症。
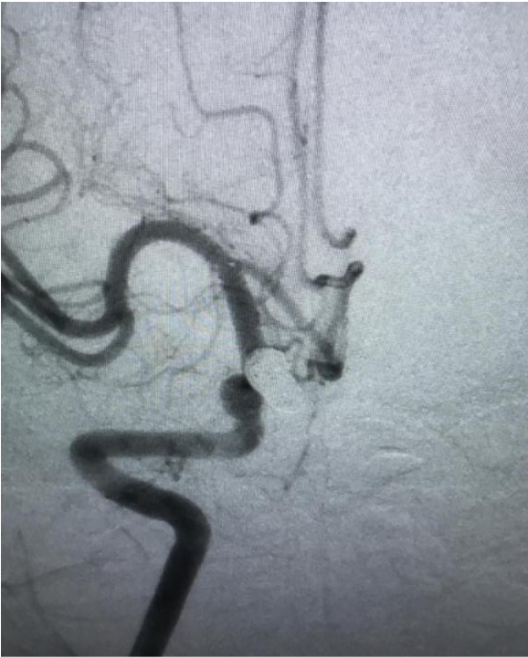
■ 微创介入手术完美“拆弹”
颅内动脉瘤虽然凶险,但随着现代医学不断发展,已不再是无法解决的难题。目前动脉瘤的治疗方式主要有开颅夹闭和微创介入治疗两种。具体选择哪种治疗手段,需根据动脉瘤的形态和部位决定。介入治疗因其创伤小、恢复快、安全性高等优势被广大患者认可。
市三医院神经外科脑血管病组的医生经过共同讨论,决定采用微创介入的手术方式处理赵师傅颅内的动脉瘤。
入院后第二天,赵师傅被送入杂合手术室,脑血管病组团队医师们登台手术。医生们从赵师傅右股动脉穿刺,将导丝从股动脉、腹主动脉、胸主动脉一路插至颅内载瘤动脉,再运用微导管技术将弹簧圈送到动脉瘤腔内,栓塞瘤腔,在主干血管内置入一枚支架,稳固弹簧圈的同时保留了正常血管的血流。经两个小时手术,赵师傅脑内的动脉瘤被完全填塞封堵。
医生在赵师傅回到病房后严密监测他的心率、血压等各项生命体征,并予以他右下肢制动、脱水、降颅压等对症处理措施。经1周观察治疗,赵师傅恢复良好,顺利出院。

(治疗前二维造影)

(治疗前三维造影)

(治疗后二维造影)

(治疗后三维造影)
■ 20人中就有一个脑动脉瘤“携带者”
据相关数据统计,每100个成年人中,就有7个患有颅内动脉瘤。很多人的脑动脉瘤可能终身未破裂,破裂和未破裂的脑动脉瘤合在一起的平均发病率高达5%,也就是说,平均每20人中就有一个脑动脉瘤“携带者”。但遗憾的是,目前大多数患者只有当动脉瘤破裂出现蛛网膜下腔出血、脑出血等严重后果,危及生命时,才急诊入院处理。
神经外科脑血管病组徐剑峰医师介绍,对患有高血压、糖尿病、高血脂并且伴有头痛或家族病史的动脉瘤高发人群,好的预防方法就是针对性地进行脑血管CT成像(CTA)、脑血管核磁共振(MRA)等检查。一旦发现直径超过4mm的脑血管瘤,就需要考虑进一步治疗,不要让颅内的“高速路上”有任何“爆胎”风险。
神经介入技术是近二十年来兴起的一种日臻成熟的微创治疗技术,具有微创、安全、康复快等诸多优点。绵阳市第三人民医院神经外科自2005年起在绵阳地区率先开展此项技术,先后派出多人到上级医院进修学习,不断提高技术,精益求精,攻克一个又一个的治疗难关,团队主研的“出血性脑血管疾病的微创介入诊治”项目于2019年获得了绵阳市人民政府授予的科技进步三等奖。至今科室已为本地及周边地区的上千名脑血管病患者解除了颅内动脉瘤的威胁,获得了患者、家属及社会各界的认可。
(唐凡、文汧卉)