403
患者袁女士因出现行走不稳及头晕症状,在当地医院检查颅底占位病变到我院神经外科求治;患者王先生则是因为三年前出现的右耳听力下降伴同侧面部麻木,近十天症状加重,到我院神经外科就诊。
他们两人在做术前头颅MRI提示:【桥小脑角区占位病变】。
大脑是人体最精密最复杂,也是最重要的器官,而桥小脑角区更是大脑的重要阵地。它是颅底深部的一个锥形窄小的区域,集中了听神经、面神经、三叉神经及岩静脉、小脑前上动脉等重要结构,还毗邻控制心跳与呼吸的脑干,被称为“生命禁区”。因其解剖位置特殊,手术难度极大,稍有不慎即会因其颅神经功能缺损甚至失去生命,因此桥小脑角区手术是神经外科手术中的难点。
近日,我院神经外科医师团队顺利完成了两例高难度桥小脑角区肿瘤手术,完美避开周围重要神经和血管,精准切除桥小脑角区肿瘤。
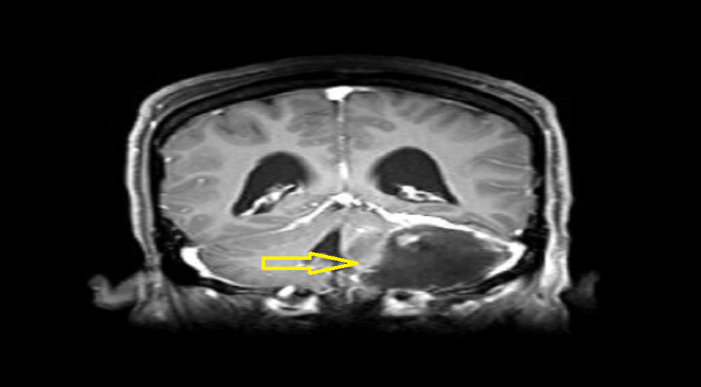
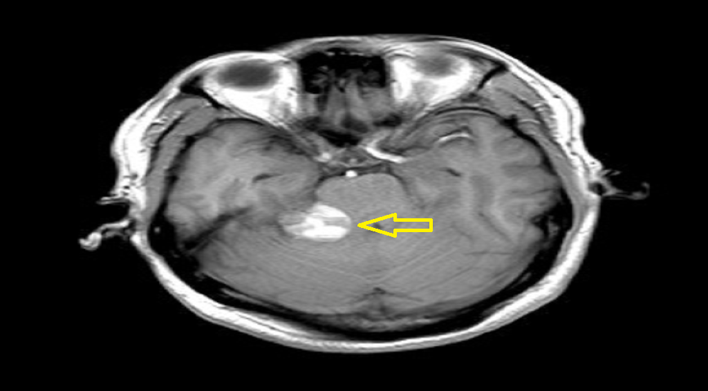
■ 袁女士颅内肿瘤位于左侧桥小脑角区,约6*4*4cm大小,占位效应明显,手术指征明确,其颅内肿瘤与周围血管及神经包裹密切,且体积巨大,经过长达六小时手术,肿瘤被顺利切除。

(术前)

(术后)
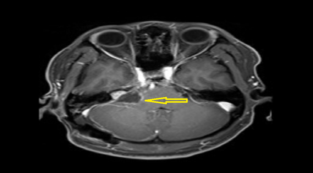
■ 王先生的肿瘤位于右侧桥小脑角区考虑为听神经瘤可能性大,虽然较王女士的肿瘤小,但该肿瘤已严重侵犯王先生内听道,还有瘤内出血现象,必须马上手术。术中手术医师全神贯注在电生理监测下细致地避开重要血管,将肿瘤组织与面听神经、三叉神经分离,成功将肿瘤完整切除。

(术前)

(术后)
术后两位患者的症状消失,在医护人员的周密细致的治疗和护理下,恢复良好,不日即将康复出院。
一说到大脑里长肿瘤,普通百姓就胆战心惊,觉得自己身患绝症,还有因害怕做开颅手术而讳疾忌医,实际上,桥小脑角区肿瘤多为良性,生长缓慢,早发现早治疗,可以取得良好的手术效果。
据神经外科专家刘阳主任医师介绍,虽然桥小脑角区肿瘤多为良性,但如肿瘤继续增大压迫脑干和小脑,会出现偏瘫、脑积水,甚至导致呼吸、心跳骤停的可能。桥小脑角区肿瘤常以面部麻木、张口困难、听力下降、耳鸣及声音嘶哑等症状为首发表现,如果出现了这些症状,一定要及时到正规医疗机构检查、明确病因。
我院神经外科团队多年来已成功治愈数百名桥小脑角区肿瘤患者,经验丰富,以精湛的医疗技术和优质的医疗服务为患者保驾护航。
(文汧卉)