403
自2022年9月30日6时起,我市加强城区部分区域临时管控,在这样特殊的时期,我院积极响应,根据上级防控要求,全院实施闭环管理以来,骨科全体医务工作人员在疫情防控中坚守岗位,齐心协力,
极响应院党委的号召,派出多名医护人员参加抗疫,科室留守人员全部坚守在临床工作岗位上,并且吃住在院,做好科室疫情防控工作的前提下,对急危重症患者进行安全、高效的救治,用高扬的斗志和积极的工作,保证疫情防控和正常的医疗“不冲突”。
近日,一位九十多岁高龄老婆婆因不慎摔倒髋部骨折,患者年龄偏高,身体基础条件较差,面对号称“人生最后一次骨折”的髋部骨折,如果只是保守治疗,由于老年人髋部骨折的特殊性,可能还未待到3个月左右骨折愈合好后,就会发生下肢静脉血栓、压力性损伤、泌尿系统感染等严重并发症,危及老人的健康甚至是生命安全。在这种疫情背景下的特殊时期,能够进行手术吗?


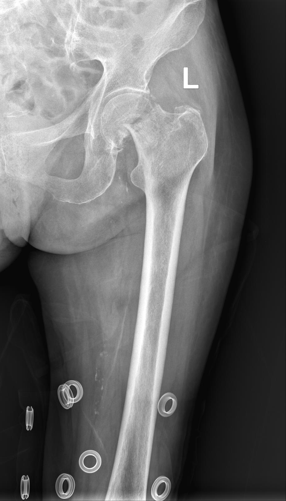
术前DR 术后DR
在严格执行疫情防控要求下,急诊科将患者转运至综合缓冲病房进行治疗,并积极完善相关术前检查,实行三天三检(核酸检测),均为阴性后当天立即转入骨科病房,大外科党委书记、大外科主任、骨科主任肖聪带领科室医疗团队结合患者的各项检查指标结果,进行缜密的病例讨论,与家属商量决定为患者行微创全髋关节置换术。
术前,骨科积极联系相关科室,进行了充分的术前准备,麻醉科指派丰富经验的麻醉师时刻关注患者麻醉期间各项指症数值,全程保驾护航。经过1小时的手术,微创全髋关节置换术成功完成,麻醉完全苏醒后即刻下地行走进行功能锻炼,极大预防了老年患者因卧床导致致命的深静脉血栓、肺部感染、泌尿系统感染等并发症,在专业康复理疗师的指导下进行功能锻炼,目前患者恢复良好,择日即可办理出院。
目前我院骨科已开展微创全髋关节置换日间手术,当天手术麻醉苏醒后立即走出手术室,无痛感,术中出血少,不安置引流管、导尿管、不拆线,手术切口小(仅9cm),当天就可以办理出院,快速回归家庭、社会,极大减轻了患者的经济负担。
在疫情面前,大家一直践行着“人民至上,生命至上”的坚定信念,默默坚守在临床岗位上,以院为家,为来院患者提供专业优质的医疗服务。在各自的岗位中迎难而上,主动出击,为打赢新冠疫情狙击战,贡献着自己的力量。此刻,战“疫”仍在继续,全体医护人员依然坚守在各自的岗位上,为全市人民的生命安全和身体健康保驾护航!
作者:刘利娟
编辑:黄平
审核:邓金林
上一篇:坚守一线螺丝钉 精心部署保复工——我院基本建设科助力疫情防控工作