• 医院官网
  • 首页
  • 患者服务
    • 预约挂号
    • 门诊时间
  • 医生介绍
  • 科室导航
  • 就医指南
  • 医院公告
    • 信息公开
    • 医院公告
    • 招标公告
    • 质控中心
  • 党建专栏
  • 新闻中心
    • 职工艺苑
    • 教学栏目
    • 医院新闻
    • 科室新闻
  • 健康科普
    • 患者心声
    • 医保之窗
    • 医护之窗
    • 政策法规
    • 健康科普
  • 院长信箱
  • 医院概况
    • 医院简介
    • 价值体系
    • 领导风采
    • 行政科室
    • 医院荣誉
    • 大型仪器
    • 医院环境
  • 省政府信息
  • 游仙区紧密型城市医疗集团
    • 集团成员单位
    • 集团工作动态
    • 集团组织架构
新闻中心
  • 职工艺苑
  • 医院新闻
  • 科室新闻
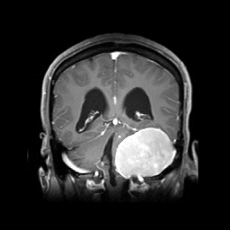
  • 挑战“生命禁区”---市三医院神经外科成功完成高难度桥小脑角区肿瘤手术
    挑战“生命禁区”---市三医院神经外科成功完成高难度桥小脑角区肿瘤手术 2021-02-02 患者袁女士因出现行走不稳及头晕症状,在当地医院检查颅底占位病变到我院神经外科求治;患者王先生则是因为三年前出现的右耳听力下降伴同侧面部麻木,近十天症状加重,到我院神经外科就诊。他们两人在做术前头颅MRI提示:【桥小脑角区占位病变】。大脑是人体最精密最复杂,也是…
  • 高新分院召开2020年度年终工作总结暨表彰大会
    高新分院召开2020年度年终工作总结暨表彰大会 2021-01-30 1月28日下午,高新分院在分院大会议室召开了2020年度年终工作总结暨表彰大会,院总部党委副书记向虎同志与行后分院党委委员、分院办公室主任贾春雷同志出席会议,分院领导班子、中层干部及职工代表共40余人参会。会议第一项议程,行后分院第十党支部书记、高新分院执行院长欧阳…
  • 我院召开2020年退休人员座谈会
    我院召开2020年退休人员座谈会 2021-01-30 1月29日下午,我院在科教楼7楼会议室召开2020年退休人员座谈会。会议由党委副书记向虎主持,纪委书记何如,人力资源科、工会、离退休管理科等职能科室负责人,以及今年退休的医院职工参加了此次座谈会。向虎转达了院党政班子及全院职工对老同志的敬意和问候,感谢他们为医院建…
  • 我院“助力疫情防控,护佑人民健康”义诊活动走进游仙区仙人路社区
    我院“助力疫情防控,护佑人民健康”义诊活动走进游仙区仙人路社区 2021-01-29 【众志成城齐抗疫,不负使命铸忠诚】为进一步提升社区老百姓疫情防护意识,提高疫情防护水平。1月28日上午,事业发展部组织开展了“助力疫情防控,护佑人民健康”义诊活动走进游仙区仙人路社区。我院医务人员弘扬志愿者服务精神,不畏严寒,发挥党员及青年自愿者先锋模范作用。…
  • 好消息!高新分院核酸检测实验室改建通过验收,并顺利开展检测工作
    好消息!高新分院核酸检测实验室改建通过验收,并顺利开展检测工作 2021-01-29 为切实做好常态化新冠肺炎疫情防控工作,近日,高新分院顺利通过了市卫健委专家组的检查,正式独立开展“新型冠状病毒核酸检测”检验项目。高新分院严格按照PCR实验室相关规范要求,进行了改建,其内设置了试剂准备区、样本处理区、扩增产物分析三个工作区,并购置了国内最先进…
  • 精神大科召开2020年工作总结暨2021年工作部署会
    精神大科召开2020年工作总结暨2021年工作部署会 2021-01-29 1月26日下午,精神大科在全科医师楼八楼PBL教室召开了2020年度工作总结会及2021年工作研讨会,会议由大科行政主任陶用富主持,各科室主任及护士长共27位干部参加了会议,会议邀请学科带头人黄国平博士到会指导。陶用富首先作了2020年度精神大科工作总结,包括业务相关数据、经…
  • 坚持无偿献血20年 我院职工蒲三文荣获无偿献血奉献奖金奖
    坚持无偿献血20年 我院职工蒲三文荣获无偿献血奉献奖金奖 2021-01-29 近日,我院院办公室蒲三文同志荣获2018-2019年度无偿献血奉献奖金奖。“全国无偿血奉献奖”是由国家卫生和计划生育委员会、中国红十字总会、中央军委后勤保障部卫生局联合评选颁发。根据2014年《全国无偿献血表彰奖励办法》规定,国家“无偿献血奉献奖”用以奖励多次自愿无偿献…
  • 榜样!我院呼吸与危重症医学科副主任医师夏俊杰荣获绵阳市脱贫攻坚记功奖励
    榜样!我院呼吸与危重症医学科副主任医师夏俊杰荣获绵阳市脱贫攻坚记功奖励 2021-01-28 1月27日,从绵阳市人力资源和社会保障局与绵阳市扶贫开发局联合发布《关于给予我市事业单位脱贫攻坚先进个人和集体记功的决定》中获悉,我院呼吸与危重症医学科副主任医师夏俊杰荣获个人记功奖励。夏俊杰同志是我院派驻红原县人民医院开展对口支援的医疗队队长,在支援期间,她…
  • 喜讯:我院检验科荣获绵阳市抗击新冠肺炎疫情先进集体称号,3名医护人员获先进个人称号
    喜讯:我院检验科荣获绵阳市抗击新冠肺炎疫情先进集体称号,3名医护人员获先进个人称号 2021-01-28 1月27日,绵阳市委市人民政府发布《关于表彰绵阳市抗击新冠肺炎疫情先进集体和个人的决定》,我院医学检验科荣获绵阳市抗击新冠肺炎疫情先进集体。重症医学科主管护师樊婷婷、重症医学科主治医师杨梅、呼吸与危重症科主治医师杨明分别荣获绵阳市抗击新冠肺炎疫情先进个人。新冠…
共 2994 条上一页1... 270271272273274275276277...333下一页
  • 绵阳政府网
  • 四川省卫生和计划生育委员会
  • 中华人民共和国国家卫生健康委员会
  • 绵阳市卫生和计划生育委员会
  • 急救电话: (0816)2296120 母乳喂养咨询热线: 0816-2967371
    总机: (0816)2282249
    • 幸福云医疗APP

    • 服务号 scmysyy

    • 订阅号 scmysdsrmyy

    • 传真:(0816)2296100
    • 地址:绵阳市剑南路东段190号
    • 邮编:621000
    • CopyRight© 2010 www.scmy120.com,All CopyRights Reserved.
      蜀ICP备14003058号-12
    • 川公网安备 51070402110131号